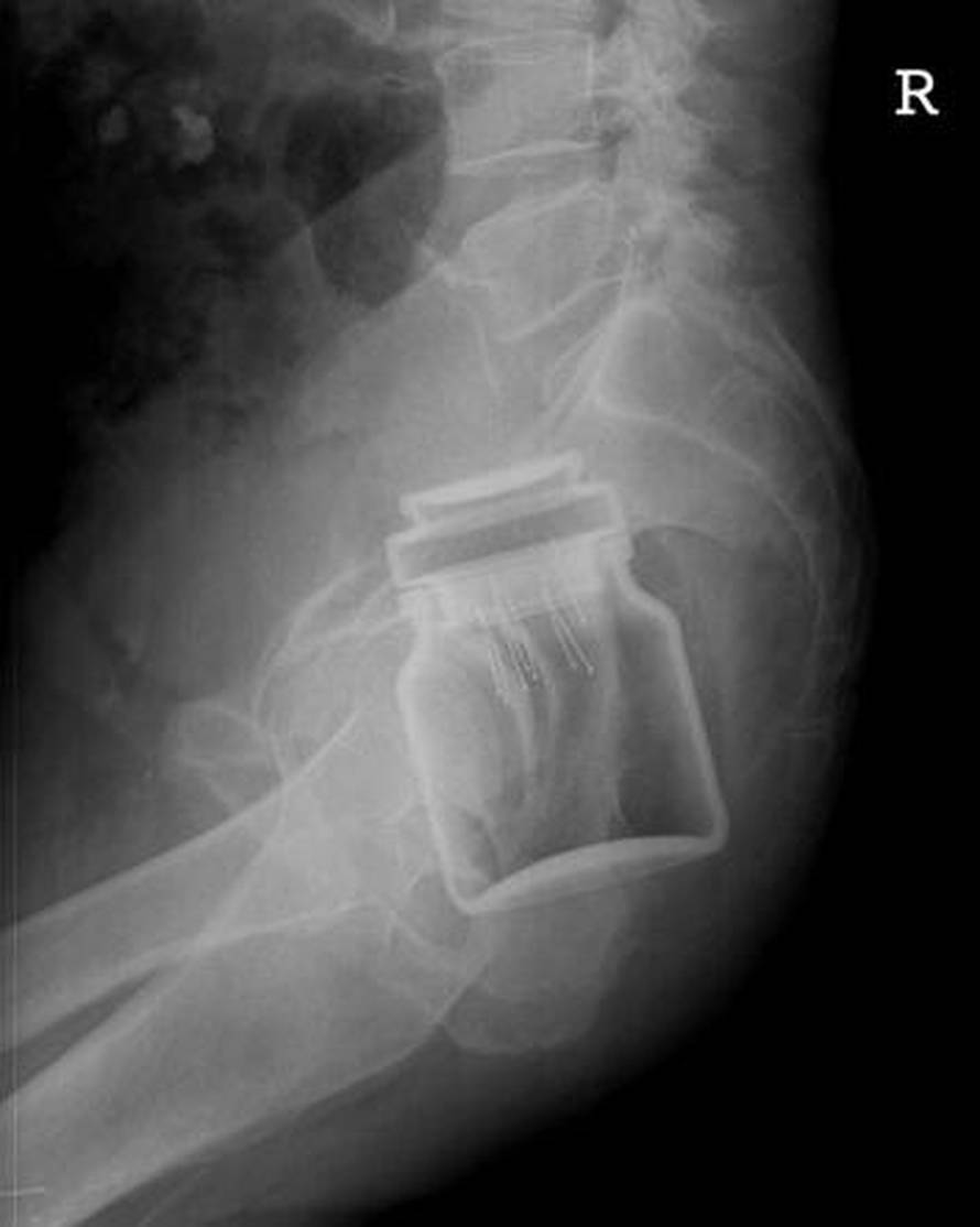
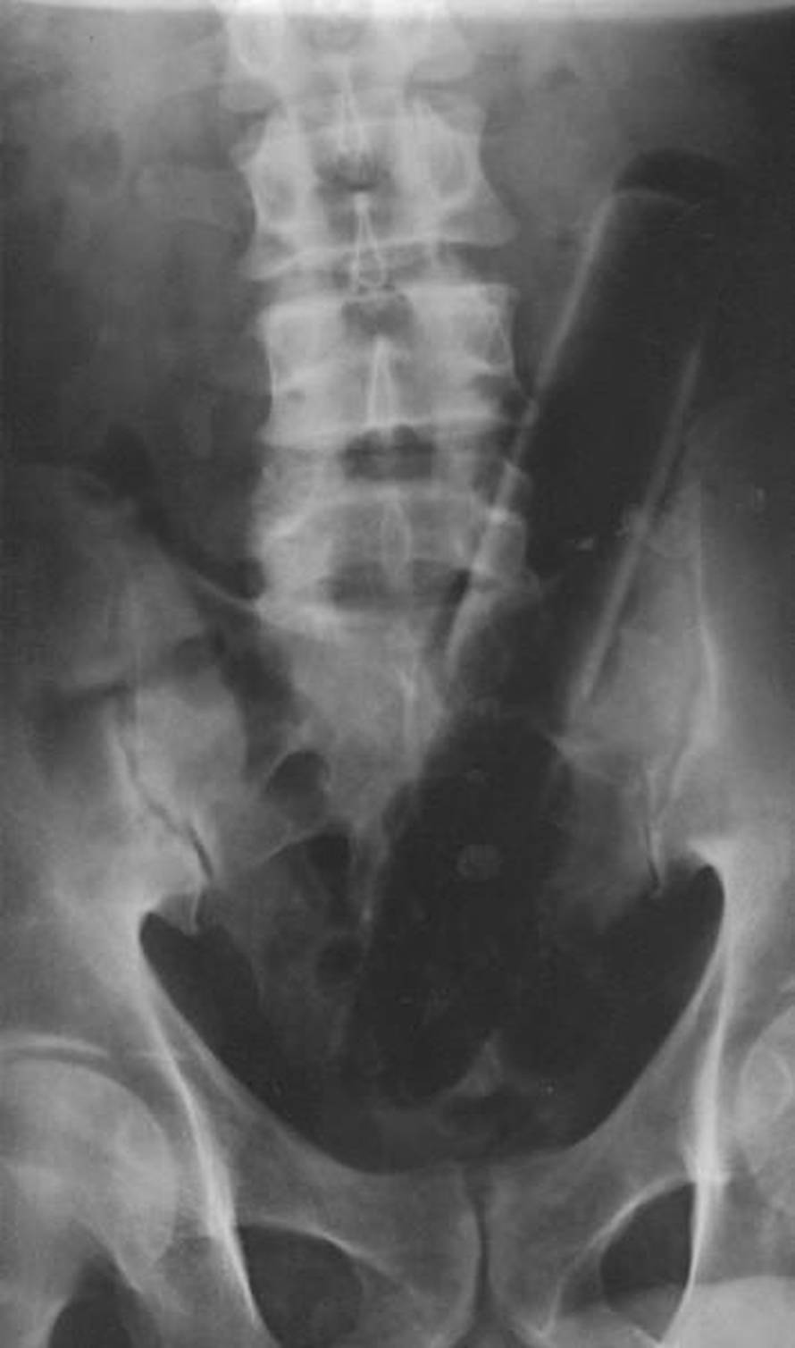
BIZARNE IGRICE: Kirurzi Kliničke bolnice Merkur u Zagrebu iz anusa maštovitih pacijenata moraju vaditi predmete koji 'pobjegnu' tijekom 'igrica'
Jelena Rozga provodi Badnjak i Božić s obitelji i dečkom Ivanom Huljićem: 'Lijepo je i guštamo'
FOTO HDZ-ova načelnica u općini u kojoj više nema za božićnice ima aute, gliser, ušteđevinu...
Iskoristi svoj Oranž