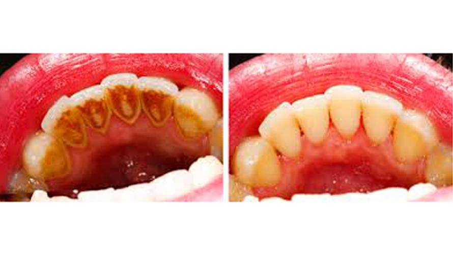
Riješite se zubnog kamenca bezbolno iz udobnosti doma
Provjerili smo za vas kako se je oko 30.000 ljudi samo u Hrvatskoj uspjelo trajno riješiti problema sa zubnim kamencem i svega što on uzrokuje. Svima nam je poznato kako zubni kamenac nadražuje desni koje potom krvare