“Strategic” implantologijom do savrešenog osmijeha
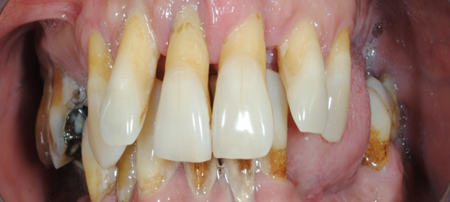
Pojava dentalnih implantata označila je početak prave revolucije u dentalnoj medicini. Implantologija kao grana dentalne medicine bavi se iješavanjem problema bezubosti, bilo da je riječ o gubitku jednog ili svih zuba u čeljusti