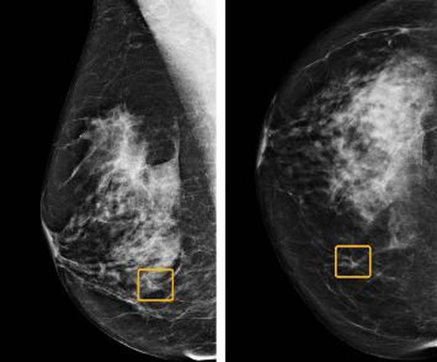
Sustav umjetne inteligencije baziran na algoritmu pokazao se učinkovitijim od radiologa u prepoznavanju raka dojke s mamografa, a bolje je uočavao i lažno pozitivne ili negativne dijagnoze
'U Virovitici natočio više od 400 litara dizela i pitao na blagajni kako to da više nema goriva!?'
Fotka rasplakala Hrvatsku: 'Susjed svog bolesnog i starog psa svaki dan vozi na livadu'
Iskoristi svoj Oranž