Obavijesti

Promo sadržaj

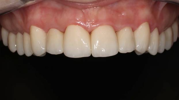
Osmijeh koji izgleda prirodno? Tajna je u preciznom planiranju i kvalitetnom materijalu

Osmijeh koji izgleda prirodno? Tajna je u preciznom planiranju i kvalitetnom materijalu
6

Ljuskice, krunice i mostovi danas ne moraju izgledati “umjetno”. Kada se terapija planira precizno i individualno, rezultat je osmijeh koji se savršeno uklapa u lice

U današnje vrijeme osmijeh je puno više od estetskog detalja, on je ogledalo samopouzdanja, zdravlja i osobnog dojma. Dok mnogi maštaju o savršenim zubima, često se boje da bi rezultat mogao djelovati neprirodno, “plastično” ili kao da “nešto ne štima”. Dobra vijest je da to ne mora biti tako.

Zahvaljujući napretku u dentalnoj medicini, danas je moguće postići osmijeh koji ne izgleda “kao s reklame”, već kao najljepša verzija prirodnog, onog koji se skladno uklapa u lice, ten, oblik usana i osobnost.

Sve počinje – dobrim planiranjem

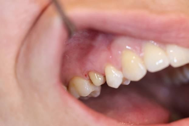
Kada se odlučite na zahvate poput ljuskica, krunica ili zubnog mosta, prvi i najvažniji korak nije brušenje zuba, nego razumijevanje. Vaš liječnik dentalne medicine mora znati što želite, kako izgledaju vaši zubi sada, kakve su vaše navike i što vam je važno u novom osmijehu.

Upravo zato sve više stomatoloških ordinacija prelazi s univerzalnog pristupa na ono što se naziva personalizirana dentalna medicina. Umjesto istih rješenja za sve, fokus je na individualnom planu, za svakog pacijenta posebno.

Estetika i funkcija idu ruku pod ruku

Pravi stručnjaci razumiju da uloga zuba nije ograničena samo na njihov izgled. Krunice i mostovi moraju izdržati opterećenja žvakanja, trajati godinama, ali i estetski odgovarati licu. Zato su detaljne konzultacije i dijagnostika neizostavan dio svakog kvalitetnog zahvata jer ono što izvana izgleda jednostavno, zapravo je rezultat preciznog planiranja.

Danas se koriste digitalni otisci, skeneri, simulacije osmijeha i fotografije kako bi se svaki detalj unaprijed isplanirao, od položaja zuba, preko boje i oblika, do konačnog izgleda osmijeha.

Materijali koji čine razliku

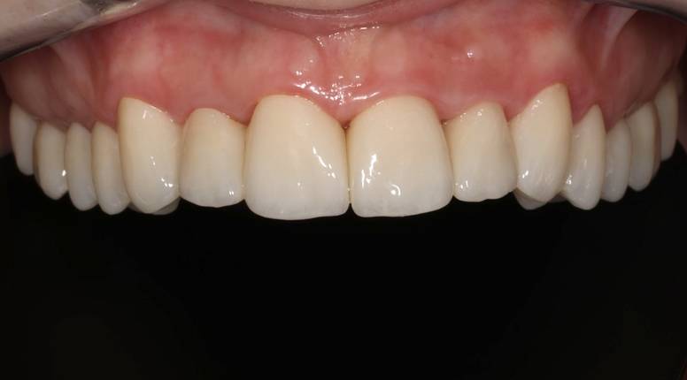
Osim stručnosti, za prirodan rezultat ključni su i materijali. Staklokeramičke krunice, cirkonske baze, visokoestetske ljuskice, sve te opcije omogućuju izradu zubi koji imitiraju prirodni sjaj, prozirnost i boju zubne cakline.

Kada se pravilno koristi, kvalitetan materijal omogućava da i “umjetni” zub izgleda potpuno prirodno, toliko da nitko neće znati da nije vaš.

Gdje osmijeh postaje osobna priča

Upravo takav individualni pristup njeguje ordinacija Lani Dental, gdje se svaki osmijeh oblikuje s posebnom pažnjom, bez kompromisa.

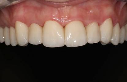
Lani Dental ne radi “sve po šabloni”, nego stvara rješenja po mjeri. Svaki most, svaka krunica i svaka ljuskica planira se precizno, prema vašoj anatomiji, estetici lica i osobnim željama. Ključ je u razgovoru i razumijevanju jer pravi osmijeh nije samo niz bijelih zubi, nego odraz vas samih.

Kao što kažu iz ordinacije: “Dentalna estetika nije industrijska proizvodnja. Svaki osmijeh mora biti jedinstven i u skladu s osobom koja ga nosi.”

Kroz svaki korak – s vama

Od prvog pregleda, preko izrade plana i odabira materijala, do završne predaje, pacijenti u Lani Dentalu nisu prepušteni sami sebi. Liječnici vas vode kroz svaki korak, odgovaraju na pitanja, prilagođavaju plan ako je potrebno i brinu da vam cijeli proces bude što ugodniji.

Zato su i rezultati takvi, osmijeh koji izgleda kao da je vaš od rođenja, ali uz dodir profinjenosti i simetrije.

Osmijeh je ulaganje koje se isplati

U vremenu kada je prva impresija važnije nego ikada, ulaganje u zdrav, prirodan i lijep osmijeh jedna je od najpametnijih odluka. Ne samo da poboljšava vanjski izgled, već snažno utječe i na samopouzdanje, komunikaciju i opću dobrobit.

Ako već razmišljate o ljuskicama, krunicama ili mostu, ali vas brine hoće li to “izgledati umjetno”, znajte da današnja dentalna medicina ima sve alate da vaš novi osmijeh bude baš onakav kakav želite.

Spremni ste za promjenu?

Ako ste odlučili da je vrijeme za osmijeh koji djeluje prirodno i savršeno se uklapa u vaše lice, obratite se stručnjacima koji znaju kako to postići, precizno, stručno i s osjećajem.

Za savjet, konzultacije ili termin pregleda, možete kontaktirati ordinaciju Lani Dental na broj 01 6288 256 ili putem maila dental.lani@gmail.com te dolaskom u ordinaciju.

Sve što je bitno, na dohvat ruke
Skini aplikaciju za najbolje iskustvo portala. Čitaj, komentiraj i budi uvijek u toku s najnovijim vijestima.
Zlatne godine: Umirovljenici uče kako se uspješno zaštititi u današnjem digitalnom svijetu
PROMO

Zlatne godine: Umirovljenici uče kako se uspješno zaštititi u današnjem digitalnom svijetu

Iako su umirovljenici majstori snalaženja, digitalno doba donosi nove izazove koji zahtijevaju stalnu informiranost i oprez. Konferencija 'Zlatne godine uz sigurne financije' ponudila je odgovore na sva pitanja
Deset godina podrške domaćim impact poduzetnicima: otvorene prijave za novi ciklus programa
PROMO

Deset godina podrške domaćim impact poduzetnicima: otvorene prijave za novi ciklus programa

U jubilarnoj godini program dodatno ojačan partnerstvom s Hrvatskom udrugom poslodavaca i Ekonomskim fakultetom u Zagrebu.Svaki euro koji je uložen u program u 2025. generirao je 4,86 eura društvenog dobra. Program potiče razvoj novih proizvoda, otvaranje radnih mjesta i jačanje mikro poduzetništva u Hrvatskoj
RBA Privatno bankarstvo treću godinu zaredom proglašeno najboljim u Hrvatskoj
PROMO

RBA Privatno bankarstvo treću godinu zaredom proglašeno najboljim u Hrvatskoj

Prestižna Euromoney nagrada predstavlja važnu međunarodnu potvrdu uspjeha jedne od najvećih domaćih banaka