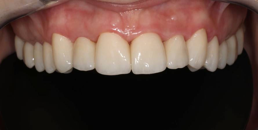
Osmijeh koji izgleda prirodno? Tajna je u preciznom planiranju i kvalitetnom materijalu
Ljuskice, krunice i mostovi danas ne moraju izgledati “umjetno”. Kada se terapija planira precizno i individualno, rezultat je osmijeh koji se savršeno uklapa u lice